Skip to content
6351 West 13400 South #200 Herriman, UT 84096
Google Reviews
info@mvperio.com
Home
About Us
Services
Team
Contact Us
Schedule Appointment
Schedule Appointment
Home
About us
DOCTOR BIOS
MEET THE TEAM
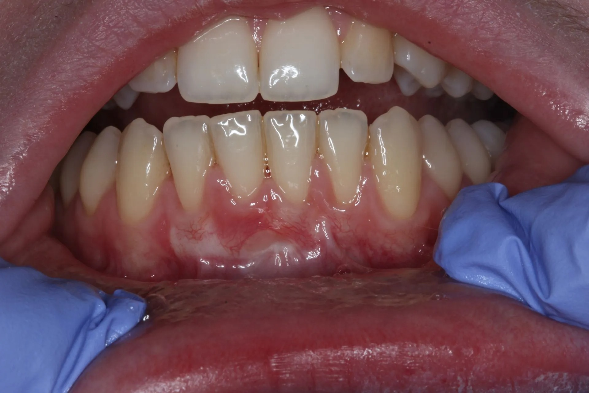
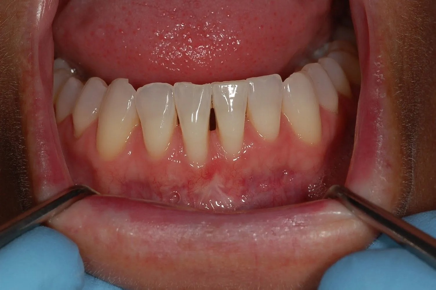
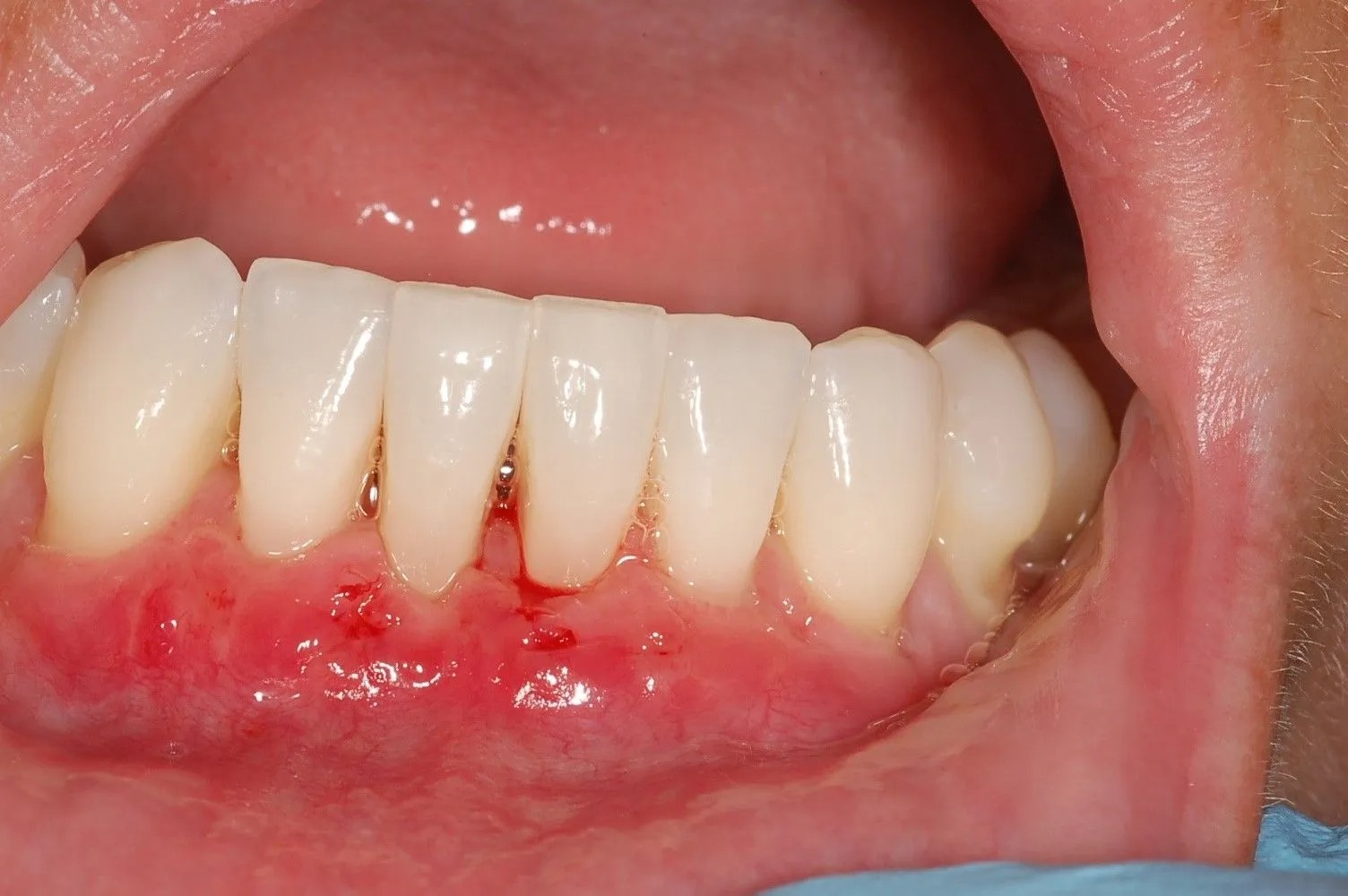
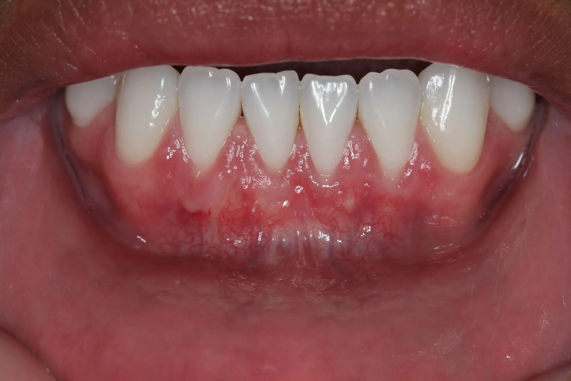
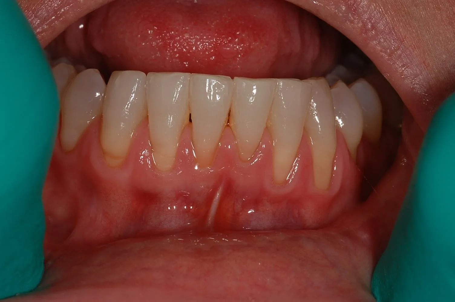
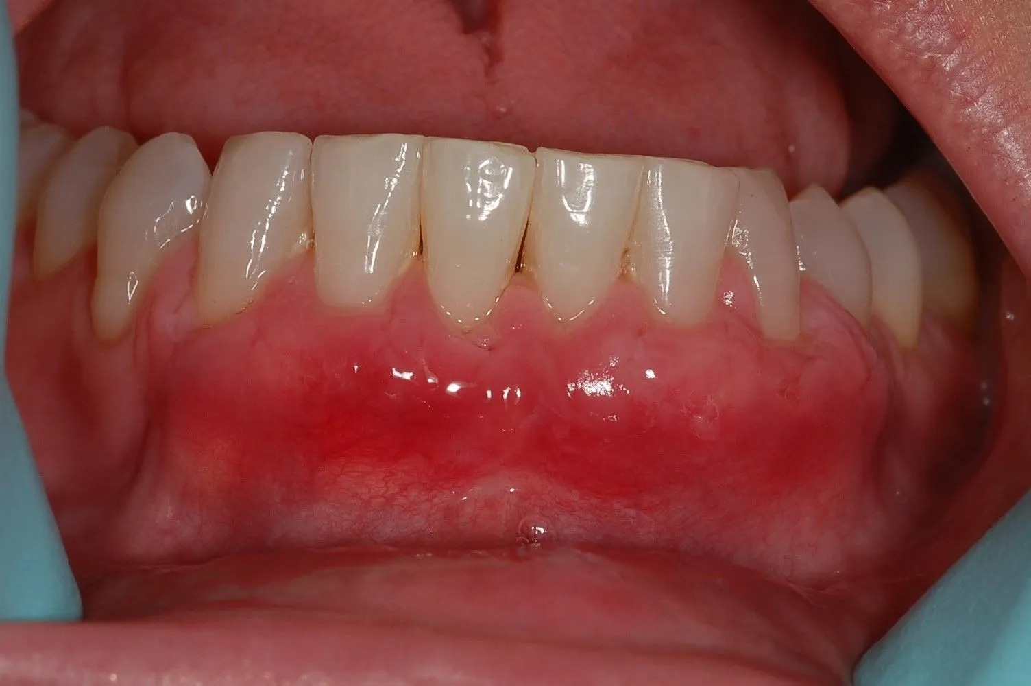
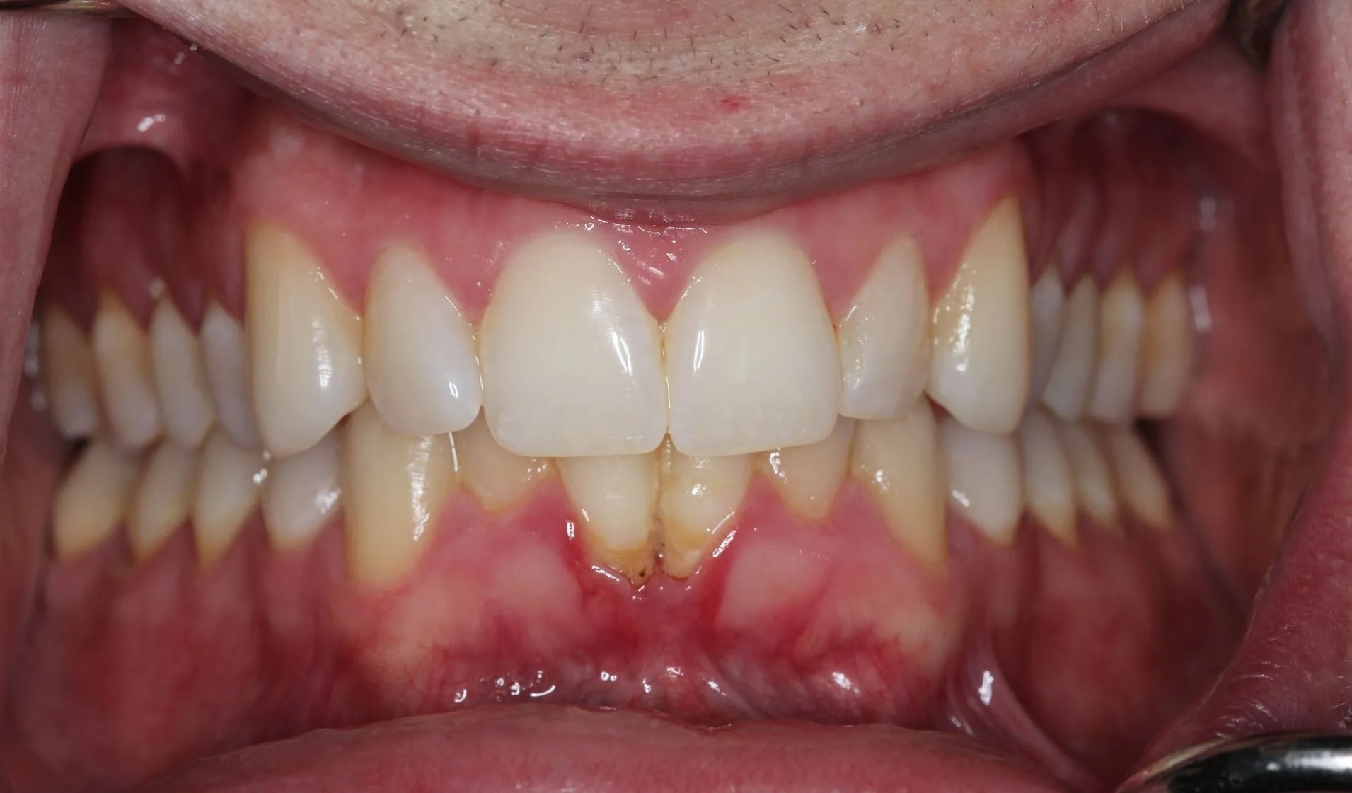
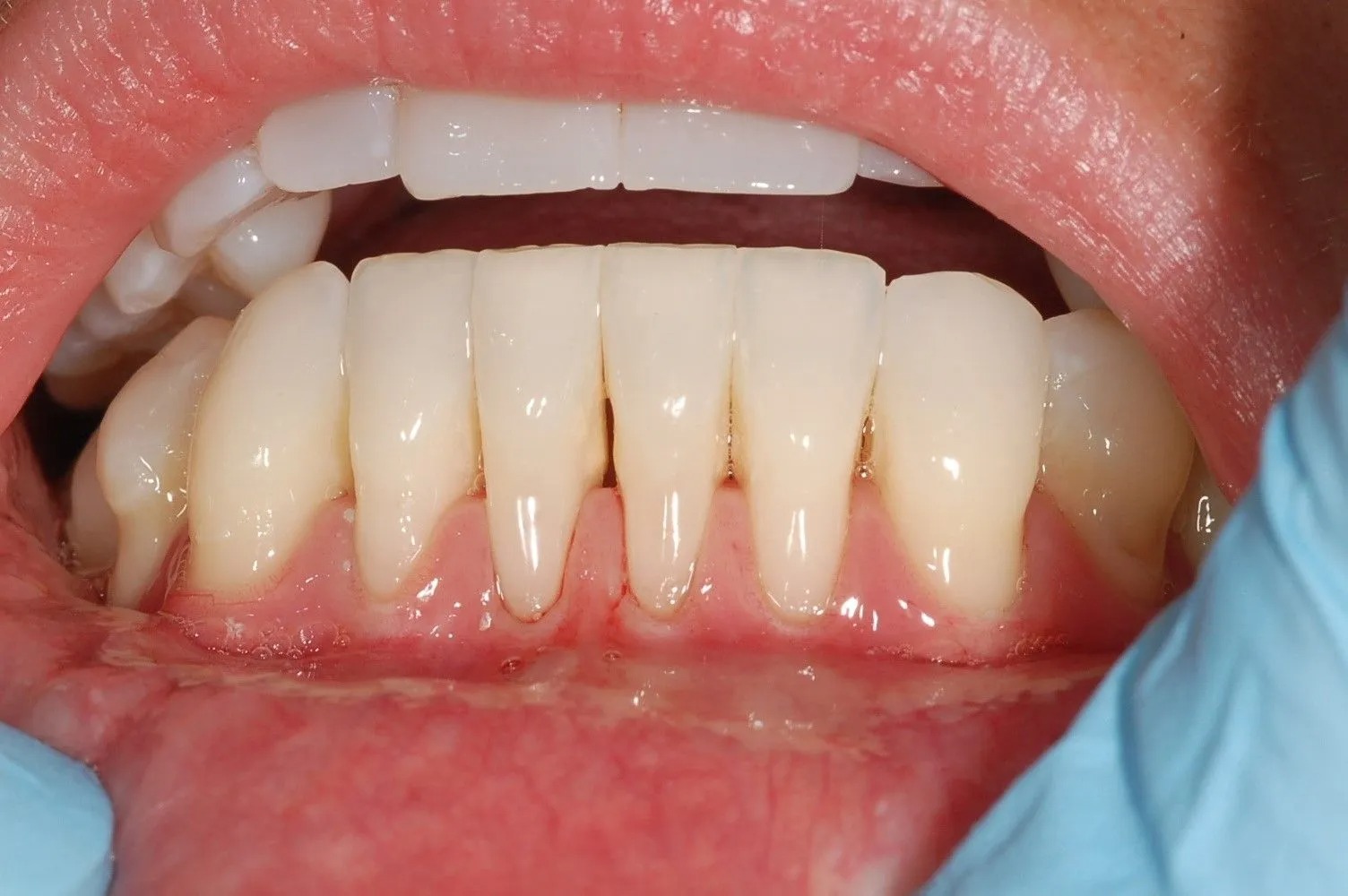
BEFORE AND AFTER
Technology
SERVICES
dental implants-1
Dentures-1
Oral Surgery
Periodontal Therapy
Regenerative Bone Grafting
Sedation Options
Patient Resources
Blog
Contact